La acidez estomacal es el primer síntoma de gastritis. Si no se trata a tiempo, puede derivar en cáncer.

¿Te molesta la acidez que provoca eructos, ardor en el estómago y un sabor desagradable en la boca? En este artículo, queremos hablar detalladamente sobre las causas y síntomas de la acidez. Descubrirás las complicaciones que puede causar y cómo combatirla.

Hemos entrevistado a Alejandro Morales, destacado gastroenterólogo de México. El doctor explicó que la acidez es un signo temprano de gastritis, la cual puede generar úlceras, provocar hemorragias estomacales y dificultar el paso de los alimentos al intestino. A causa de esto, la digestión se deteriora y aparece el estreñimiento, que intoxica el organismo. En el 50% de los casos, la gastritis puede evolucionar a cáncer, llevando a la muerte.

El doctor compartió un desarrollo secreto de científicos mexicanos: "NeoGast" puede aliviar la acidez, curar la gastritis y prevenir la formación de úlceras y cáncer.

Noe Núñez es un médico con 20 años de experiencia y ganador del premio Nobel en medicina.

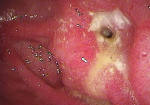
Síntomas asociados con la gastritis

La gastritis es una inflamación del revestimiento mucoso del estómago. Según datos del "INEGI", el 65% de los mexicanos padecen gastritis, lo que equivale a 70 millones de personas entre 18 y 60 años. Noe explica la razón: "Los mexicanos disfrutan de alimentos picantes y frecuentemente consumen alcohol, lo que irrita la mucosa del tracto digestivo. Esta dieta provoca acidez y lleva a la gastritis".

La dispepsia estomacal

se produce debido a alimentos picantes y empeora la digestión. Alimentos mal digeridos dificultan su paso por el intestino, resultando en una sensación de pesadez después de comer. El estreñimiento surge y, si no se evacua adecuadamente, las heces pueden intoxicar el cuerpo. Esto puede llevar a una infección en la sangre, con resultados fatales.

El síndrome de dolor

surge al consumir alcohol. Las bebidas alcohólicas provocan que el estómago produzca exceso de jugo gástrico y ácido clorhídrico, dañando las paredes del sistema digestivo, incluido el estómago y el intestino. Esto desencadena acidez, causando espasmos dolorosos y ardor en el esófago.

El ácido también daña los capilares, llevando al vómito que puede causar hemorragias. Con el tiempo, estas hemorragias pueden volverse crónicas, resultando en anemia y una disminución en los niveles de hemoglobina, debilitando el sistema inmunológico.

La gastritis viene acompañada de malestar general: fatiga, pérdida del apetito y pérdida de peso. El cuerpo no recibe los nutrientes necesarios, afectando el funcionamiento del cerebro, el hígado y el corazón.

Complicaciones de la gastritis que causan daño irreversible y pueden ser fatales:

Si la gastritis no se trata a tiempo, puede dar lugar a complicaciones como úlceras gástricas y cáncer.

Úlcera gástrica:

La gastritis favorece la proliferación de bacterias, como Helicobacter pylori, que causan infecciones en el estómago. Esto lleva a hemorragias, causando dolor intenso y heces negras. Podría ser necesario realizar una cirugía para extirpar parte del estómago. Tendrás que seguir una dieta estricta de por vida, evitando el alcohol, alimentos picantes, salados, fritos y ácidos.

Si no se trata, la úlcera puede perforar, formando un orificio en el estómago. Los alimentos entran en la cavidad abdominal y los tejidos empiezan a descomponerse, lo que puede causar septicemia y ser fatal.

Cáncer de estómago

Si la mucosa gástrica está constantemente inflamada, puede desarrollarse un tumor maligno. Las células cancerosas pueden invadir el hígado, los pulmones e incluso los huesos, afectando la función de estos órganos y causando dolor. Las articulaciones se deterioran, y la movilidad se ve afectada. El dolor puede ser tan intenso que se requiera inducir un coma. Con cáncer avanzado y en coma, la supervivencia no supera los dos meses. La muerte puede ocurrir a causa de la enfermedad o por la decisión médica de aplicar la eutanasia, desconectando el soporte vital.

La enfermedad puede ser asintomática, por lo que a menudo se diagnostica en una etapa avanzada en la que ya no es posible ayudar al paciente. Las células cancerosas se propagan a otros órganos, y solo queda esperar, con una esperanza de vida de aproximadamente 2-3 meses.

Los productos de venta en farmacias pueden tener efectos secundarios y ser perjudiciales para la salud.

En México, no existen productos capaces de curar la gastritis. Los remedios que los médicos recetan tienen múltiples efectos secundarios, empeoran el estado de los pacientes y pueden causar aún más problemas.

Por ejemplo, algunos productos afectan a los quimiorreceptores del bulbo raquídeo, provocando el edema de Quincke. Esto causa inflamación en la cara y la laringe, lo que puede llevar a asfixia. Si no se proporciona atención médica a tiempo, el edema puede tener un desenlace fatal.

Además, algunos productos irritan la mucosa gástrica, causando náuseas y vómitos. En personas alérgicas, pueden desencadenar un shock anafiláctico. Uno podría perder el conocimiento y caer en coma; si no se brinda ayuda en 30 minutos, puede resultar en la muerte.

"NeoGast" elimina la acidez estomacal y cura la gastritis.

En 2023, científicos mexicanos desarrollaron un remedio revolucionario. Se basa en las mejores investigaciones de científicos japoneses, europeos y estadounidenses de los últimos 10 años. Se probó en 10,000 voluntarios, quienes lograron eliminar la acidez y la gastritis con éxito. Durante los ensayos, los investigadores registraron 1500 casos en los que "NeoGast" curó úlceras en una etapa temprana.

El producto se presenta en forma de tabletas efervescentes que se disuelven completamente en agua, sin sabor ni olor.

Beneficios: Las tabletas son efervecentes. Esto asegura que el producto se absorba completamente y no pierda sus propiedades en el esófago.
Actúa eficazmente Este remedio ayuda a destruir la bacteria Helicobacter pylori, reduciendo la acidez del jugo gástrico y la producción de ácido. Alivia la inflamación y restaura la microflora del estómago e intestino. Normaliza la digestión y alivia el estreñimiento.
Es agradable de consumir. No tiene sabor y no deja un regusto desagradable. Tampoco irrita las papilas gustativas ni provoca náuseas.
Fácil almacenamiento. El empaque de las tabletas protege los ingredientes activos del oxígeno y la luz solar, permitiendo que se conserve en cualquier lugar sin perder sus propiedades curativas.

"NeoGast" ha sido aprobado por la "Asociación Internacional Independiente de Médicos". Es un producto hipoalergénico. Se debe tomar dos veces al día, y después de 20 días, olvidarás la acidez y la gastritis.

La producción de las tabletas comenzó el 1 de julio, por lo que el producto se produce en pequeños lotes y solo se puede ordenar en este sitio web. Queremos distribuir el producto en farmacias, pero las compañías farmacéuticas quieren aumentar el precio 10 veces. Esta medida haría que el remedio fuera inaccesible para muchos habitantes de México.

Nuestro objetivo no es lucrar con el sufrimiento de la gente, sino ayudar a combatir la gastritis. Noe Núñez conversó con los fabricantes y decidieron ofrecer un descuento temporal del 50% para que más personas puedan recibir la ayuda necesaria.

Complete el formulario para comprar "NeoGast" y deshacerse de la gastritis:
El precio original de "NeoGast" es de . Con el descuento del 50% el precio queda en .
Hay 15 unidades disponibles.
Opiniones de los clientes.
Presentado por Merck & Co, Inc., Rahway, NJ, EE. UU. (conocido como MSD fuera de EE. UU. y Canadá) — dedicado a utilizar la ciencia de vanguardia para salvar y mejorar vidas en todo el mundo. Obtenga más información sobre los Manuales MSD y nuestro compromiso con el Conocimiento Médico Global.